În anul 2017 am pornit de aici:

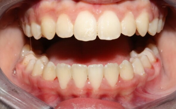
Şi în anul 2019 am ajuns aici:

Nu am fi reuşit acest lucru fără ajutorul doamnei medic ortodont Rossaura Marian (fostă Ştefan).
Îi mulţumim că există, îi mulţumim pentru răbdare, pasiune şi seriozitate.
În rest, imaginile vorbesc de la sine…





